Our

Services

Emergency Eye Care

Our optometrists are able to offer Free Emergency eyecare and get the treatment you require - more often than not completely missing out your GP for prescriptions. Whether you are suffering from  vision loss, Red painful eyes, Headaches, infections. Or anything else associated with your eyes we can see you free of charge.

Many people in Wales are entitled to FREE NHS eye examinations. If you fall into any of these categories you could be at higher risk of developing certain eye diseases or should be screened more regularly due to other factors. You are entitled to an EHEW if you:

  • Have been referred by a GP

  • Are over 40yrs old and are uniocular, that is if you have good sight in only one eye.

  • You are  over 40 and are hearing impaired or profoundly deaf 

  • Suffer from an eye condition called retinisa pigmentosa.

  • Are over 40yrs old and one of these ethnic groups: Black African, Bangladeshi, Black Caribbean, Indian, Pakistani

Book your appointment

Dry Eye Assessment

Do your eyes feel itchy and gritty? Or maybe they water excessively? Are they red, sore and uncomfortable? You are not alone.

You may have dry eyes (yes, even if they water – this can be due to underlying dryness issues).

We are able to carry out specialised eye examinations investigating dry eye symptoms, and provide you with a suitable treatment plan. During a dry eye assessment we carefully discuss your concerns and carry out a detailed observation of your eyes. We will use a microscope to look at the surface of the eyes and tears at high magnifications. We also put a very small amount of coloured liquid into the tears to assess how the tears flow, and see if there are any dry areas on the surface of the eyes. This does not hurt, sting or change your vision in any way.

Dry eyes can be caused by several different reasons including poor production of either the water or oily layer of the tears, or poor drainage of the tears away from the eyes.

Following a full dry eye assessment we will design a tailored management plan just for you to help ease your symptoms. We have a range of the best eye drops and lid hygiene products to help get your eyes and tears working properly again.

Book your appointment

Contact Lenses

There is a huge range of contact lenses available these days and almost everyone can wear them! Even if you have found contact lenses unsuccessful in the past we often find you just need a little more time and effort.

We offer contact lens checks and supply lenses on a 'pay as you go' system, or by direct debit on our Eyecare Plan for Contacts.

Our Eyecare Plan for Contacts starts from as little as £6 per month. This includes ANY contact lens appointments, whenever you need!, reduced prices off your CL’s, plus 25% off any purchase in store.

There are a number of different wearing options with contact lenses:

  • Daily soft lenses:  wear them once and then throw them away. Ideal for occasional wearers or for those with an active or busy lifestyle.

  • Two weekly or Monthly soft lenses: suitable for those who are looking to wear contact lenses more regularly.  You are required to take them out each night to clean and store.

  • Extended wear soft lenses: available to be worn overnight or continuously for up to 30 days.

  • Multifocal lenses: suitable for those who require a different prescription for distance and near (and everywhere in between).

  • Toric lenses: designed to correct astigmatism (described as being a ‘rugby ball’ shaped front of the eye). 

  • Hard lenses (or Rigid Gas Permeable RGP lenses): still available and can provide outstanding vision, especially for more complex prescriptions.

As an independent optician, we are able to source contact lenses from a vast number of providers, giving us the best chance to find the best lens for you.

At a contact lens fitting appointment we will aim to find the right option for you and if possible we will aim to try contact lenses at this initial appointment, unless we need to order specific trial lenses for you.

Enquire about Conatact Lenses

Childrens Eye Test

We offer Free NHS eye examinations for all children under 19 if they are in full time education.  Although most children have excellent sight, for those who don’t, it’s important that we pick it up early. Your child won’t always tell you if there’s a problem so it’s important to get their vision checked, even if you don’t have any concerns.

We advised children to have their eyes tested as soon as possible. By the age of 4 we are able to get very detailed results. We have specialist tests developed to help us examine even the youngest of eyes.

At Greenberg Opticians we make sure it’s always fun to have your eyes tested. We do everything we can to make sure children don’t get bored from the moment they arrive.

Should your little one need eyewear, they’re in for a treat. Not only is it possible to fit youngsters as young as 8 with contact lenses, we also stock a wide variety of eyewear to keep your child excited about correcting their vision, from complete glasses covered by the NHS voucher scheme, to our designer frames.

We have a very good working relationship with the local hospital eye clinics, and are able to dispense all ages from 6 months upwards.

Book an appointment

Myopia Control

Myopia or short sight is where the eye grows fractionally longer than it should. This causes the image in the eye to be created in front of the retina giving the person blurred vision therefore requiring spectacles or contact lenses to see distance vision clearly.

Myopia as well as giving blurred distance vision without glasses or contact lenses also gives an increased risk of developing various eye conditions later in life, such as Glaucoma, Myopic Macular Degeneration and Retinal detachment. The prevalence of these conditions increases significantly with each unit (dioptre) that the Myopia increases.

Following extensive research, various types of spectacle lenses and contact lenses have been developed and have been shown to reduce the progression of Myopia by up to 60%. As Myopia is progressive and the strength of correction required increases as you grow, these lenses can significantly reduce how much the Myopia progresses.

The three main methods for slowing the progression of Myopia are:

  • Spectacles lenses – Stellest By Essilor or Miyosmart by Hoya, Shamir

  • Soft Daily Contact lenses – MiSight by Coopervision

  • Gas Permeable Contact Lenses worn overnight – Ortho-K

The spectacle lens offers normal spectacle wear for the individual but has obvious draw backs when it comes to sports and an active lifestyle.

Soft Daily contact lenses offer the advantage of contact lenses which are great for most sports (soft contact lenses are not suitable for swimming) and have the advantage of being spectacle free. The wearer does however have to be able to handle the lenses themselves.

Ortho-K is a very different method of wearing contact lenses. You wear a rigid, gas permeable lens overnight (like a retainer for our teeth), this gently re-shapes the front surface of the eye leaving the wearer glasses and contact lens free for the day. This does however have an adaptation period, getting used to the lenses and becoming glasses free can take up to a month but once there you are glasses and contact lens free for the day and have no limitations on things like swimming.

Book Your Child's Eye Examination

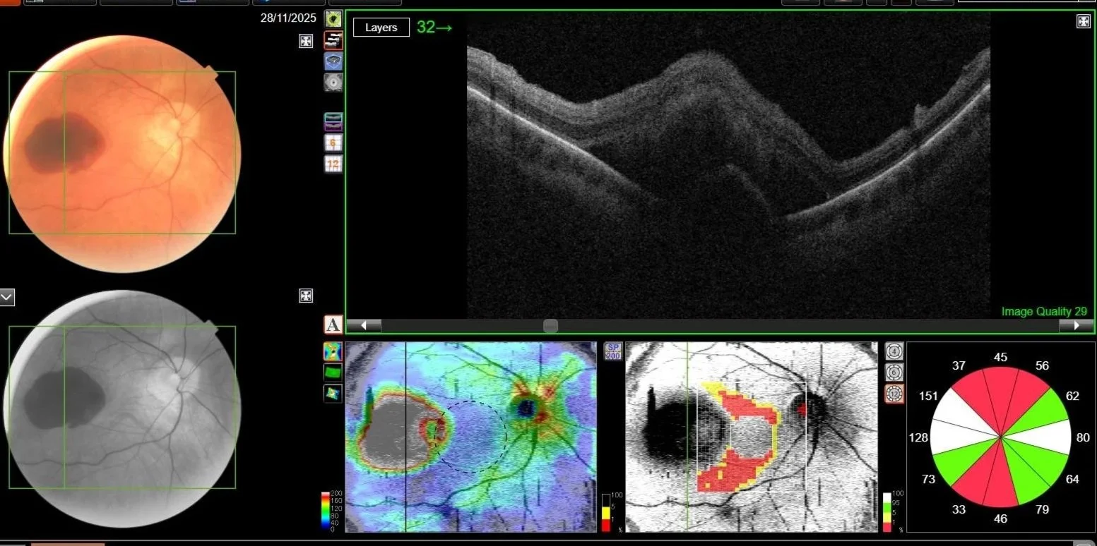
Enhanced OCT Scans

Also known as Ocular Coherence Tomography (OCT), this is an advanced eye scan for people of all ages. In a similar way to ultrasound, OCT uses light rather than sound waves to illustrate the different layers that make up the back of the eye.

The OCT machine captures both a retinal photograph and a retinal scan of the back of the eye, allowing us to rapidly diagnose a number of common eye conditions (i.e. macular degeneration, glaucoma and diabetes).

The scan is non-invasive, painless, simple and quick. With every scan the software can automatically detect even the subtlest changes to the retina, giving you an invaluable record of the health of your eyes.

Book now

The Eye Examination.

A thorough eye examination is much more than just checking whether you need glasses — it’s a complete assessment of your vision and overall eye health. During the examination, our optometrist will evaluate how well you see, how your eyes work together, and will screen for common vision problems.

Just as importantly, the health of the eyes is carefully examined to detect early signs of conditions like glaucoma, cataracts, macular degeneration, and even systemic issues such as diabetes or high blood pressure. Many eye diseases develop gradually and without obvious symptoms, so regular comprehensive eye exams are essential for early detection and timely treatment. By identifying problems early, a thorough eye examination helps protect your sight, maintain comfortable vision, and support your overall well-being.

  • Free Eye Test. Upgrade to our enhanced test for only £25

    Under 16

    Over 60’s

    Family History of Glaucoma

    If you are diabetic

    Calim Universal Credit

  • £55 including Dry eye assessment and OCT scans

  • Full standard eye test with attention to VDU distances

    Work scheme Eye test. Vouchers available via your employers.

    Receipts available if you are able to claim eye test back.

Book Now

Special Effect Contact Lenses

Special Effect Contact Lenses are custom-designed lenses used to transform an actor’s eyes — helping bring creatures, supernatural beings, or otherworldly characters to life on screen. From subtle enhancements to dramatic transformations, these lenses are an essential tool in modern film and television, offering unmatched realism and visual impact.

At Stewart Greenberg Opticians, we provide a complete service:

Design Consultation – Collaborate on unique lens designs tailored to your character.

Custom Creation – We craft each lens with precision for visual effect and comfort.

Professional Fitting – Ensure perfect fit and safety with expert oversight.

We also offer the support of a highly qualified on-set Optometrist, available to fit lenses and monitor eye health during filming — ensuring both performance and safety.

📞 Call us on 02920 47 10 10

📧 Or email: support@greenberg.co.uk

For more information — or to schedule a fitting — get in touch today.